عکس های مقایسه ای
چهارشنبه, ۱۸ آذر ۱۳۸۸، ۱۲:۰۴ ب.ظ
عکس های مقایسه ای به علت های گوناگون از دو اندام مشابه گرفته می شوند.
اکثر این عکس ها جهت تشخیص بیماری هست و بعضی ها هم برای تشخیص شکستگی.
گرفتن عکس مقایسه ای در بعضی مواقع واقعا ضروری هست.
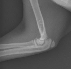
یکی از این موارد مشکوک بودن به شکستگی اندام ها در کودکان و نوجوانان است.
چون در این سن استخوان ها هنوز در حال رشد هستند خطوط اپی فیزیال از انتهای اندام ها جدا به نظر می رسند و این می تواند باعث تشخیص نادرست پزشک شود.در چنین موردی باید یک عکس دیگر از اندام مقابل گرفته شود.
خودم چند مورد دیده ام که مثلا آرنج بچه ای ضربه خورده است و پس از عکسبرداری پزشک درتشخیص شکستگی دچار اشتباه شده است و دستور گچ کرفتن داده است.در صورتی که شکستگی در کار نبوده است.لذا در این گونه موارد عکسبرداری مقایسه ای واقعا به کار می آید.
یادمان باشد هر گردی گردو نیست و هر خط شکستگی ، شکستگی نیست.
۸۸/۰۹/۱۸


وحید